Что такое findslide.org?

FindSlide.org - это сайт презентаций, докладов, шаблонов в формате PowerPoint.


Для правообладателей

Обратная связь

Email: Нажмите что бы посмотреть 

Яндекс.Метрика

Презентация на тему Неотложные состояния при действии физических факторов

Содержание

Часть 11)Ожоги2) Ожоговый шок3) Термоингаляционные поражения ВДП4)Перегревание5) Переохлаждление6) Отморожения7)Поражения электротоком
Неотложные состояния при действии физических факторов Часть 11)Ожоги2) Ожоговый шок3) Термоингаляционные поражения ВДП4)Перегревание5) Переохлаждление6) Отморожения7)Поражения электротоком Часть 21) Утопление2) Странгуляционная асфиксия3) Синдром длительного сдавления ОжогиОжогами называют повреждения, вызванные термической, химической или лучевой энергией. Тяжесть ожога определяется ПламяЧеловек получает ожоги, в основном, от загоревшейся одежды. Синтетические материалы расплавляются и 4)Ожоги, возникающие при контакте с различными другими веществами -жирами, маслами. Ожоги небольшие Термические ожоги7)Ожоги электрическим током: могут быть от молнии и бытовой (от электроприборов). 8) Ожоги щелочью и кислотойОжоги щелочью значительно опаснее, чем кислотой, при котором Лучевые ожоги11)Радиационные ожоги включаются в себя: ожоги УФ-излучением. УФ-излучение вызывает 2 вида Ожоги 1 степени проявляются резко выраженной краснотой кожи и отеком тканей, сопровождаются Фактор ожогаПлощадь ожога       -Правило ладони Ожог 3 степени Ожог 4 степени Цель- уменьшить боль и предупредить опасные для жизни осложнения.Оказание помощи при ожогах Оказание помощи при ожогах III и IV степени:1) Наложить на повреждённую поверхность Недопустимо:Сдирать с поверхности кожи одежду вскрывать пузыри бинтовать обожженную поверхность смывать грязь ВАЖНО !!!1) при ожогах кистей Помощь при химических ожогах1)Если ожог вызван кислотой (только не серной), то можно Электротравмапоражающее действие электротока в наибольшей степени зависит от:- силы тока, проходящего через Необходимо учитывать следующие аспекты1) чем выше напряжение тока в э/сети, тем выше Неотложная помощь1) Прекратить действие эл.тока на пострадавшего2) Уложить пострадавшего на спину, освободить Удар молниейПри поражении молнией на коже появляются пятна тёмно-синего цвета, напоминающие разветвление Как избежать удара молнией?Если гроза застаёт в лесу, не следует прятаться под Поражение молнией 1)Закрытый методПри закрытом методе лечения на поверхность ожога накладывают повязки с различными 4) Оперативный методГомопластические пересадки кожи производят для временного закрытия обширных дефектов при В дальнейшем, для успешного лечения ожога, необходимо иметь представление о биологических законах После оказания первой помощи в первой фазе заживления ожоговой раны следует предупредить Группа 1. Антибактериальные препараты. (антибиотики и антисептики).Антисептики:препараты йода: йодинол, бетадин, вокадин (мазь);препараты, Примеры некоторых готовых к применению раневых покрытий:Активтекс – салфетки из специальной текстильной Ожоговый шок. Развивается в связи с раздражением огромного количества нервных элементов обширной основные причины смертиИнфекция. При развитии инфекции на обожженной поверхности возникают септические явления Неотложный период в зависимости от тяжести повреждения занимает от двух дней до Ожоговый шок- это острое гиповолемическое состояние, возникающее в результате плазмопотери при обширных Неотложная помощьНеотложные мороприятия при Ожоговом шоке включают в себя инфузионную терапию и (термические)Термические ожоги вызываются пламенем, горячим воздухом и жидкостями, расплавленным металлом, нагретыми или Химические ожоги бывают кислотными и щелочными. Ожоги кислотой вызывают быстрое свертывание белка, поэтому Щелочные ожоги менее благоприятны. Щелочь растворяет белок и беспрепятственно проникает внутрь тканей. «Фарфоровый» глаз Химический ожог роговицы Термический ожог глаз Симптомы солнечного ожога бывают разные - от порозовения кожи, начинающей Солнцезащитные кремы Солнцеотражающие средстваНаиболее частая причина солнечных ожогов - ажиотаж первого дня. .. Тепловой удар Температуру 71°С человек выдерживает в течение 1 часа, 82°С - 49 минут, перегреваниеЗначительное повышение t тела под влиянием внешних тепловых факторов, приводящее к расширению КлиникаВ анамнезе — длительное воздействие высокой температуры на организм пострадавшего.1) Сильные головные Больного срочно выносят в прохладное место, обеспечивают доступ свежего воздуха, освобождают от Неотложная помощь- венозный доступ. Лучше катетером.- полиионные растворы (дисоль, трисоль, хлосоль струйно Термоингаляционные поражения ВДПВозникают вследствии прямого повреждения ВДП пламенем, горячим воздухом, паром и Клиническая картина ожогов ВДП в первые часы отличается неопределенностью. Предположить поражение ВДП Неотложная помощьЛечение термоингаляционных поражений включает в себя адекватную оксигенацию, мероприятия по обеспечению ОтморожениеОтморожение — результат местного воздействия холода.Ведущий фактор в патогенезе отморожения — длительный 2 периода течения отморожения1) Скрытый — период гипотремии. Глубину поражения установить невозможно. Отморожение пальцев кисти Неотложная помощь при отморожениях- прекратить дальнейшее охлаждение-устранить тесную обувь и одежду -провести ПереохлаждениеСостояние больного, клиническая картина и необходимый объем помощи зависят от стадии ( 1 стадия переохлаждения (адинамическая)Пострадавший заторможен, речь затруднена, скандированная. Движения скованные, мышечная дрожь.Сохраняется При длительной транспортировке допустимо использование алкоголя, но не более 100мл крепкого алкоголяЕго 2 стадия ( ступорозная)Пострадавший резко заторможен, дезориентирован, часто не контактен. Кожа бледная, Неотложная помощьТе же мероприятия, что и при 1 стадии+Активное наружное согревание( согревающие 3 стадия ( судорожная или коматозная )Сознание отсутствует, фотореакция зрачков резко снижена Неотложная помощьТе же мероприятия, что и при 1 и 2 степени+Интубация трахеи
Слайды презентации

Слайд 2 Часть 1
1)Ожоги
2) Ожоговый шок
3) Термоингаляционные поражения ВДП
4)Перегревание
5) Переохлаждление
6)

Часть 11)Ожоги2) Ожоговый шок3) Термоингаляционные поражения ВДП4)Перегревание5) Переохлаждление6) Отморожения7)Поражения электротоком

Отморожения
7)Поражения электротоком


Слайд 3 Часть 2
1) Утопление
2) Странгуляционная асфиксия
3) Синдром длительного сдавления

Часть 21) Утопление2) Странгуляционная асфиксия3) Синдром длительного сдавления

Слайд 4 Ожоги
Ожогами называют повреждения, вызванные термической, химической или лучевой

ОжогиОжогами называют повреждения, вызванные термической, химической или лучевой энергией. Тяжесть ожога

энергией. Тяжесть ожога определяется величиной площади и глубиной повреждения

тканей.

Наука изучающая ожоги называется комбустиология


Слайд 5 Пламя

Человек получает ожоги, в основном, от загоревшейся одежды.

ПламяЧеловек получает ожоги, в основном, от загоревшейся одежды. Синтетические материалы расплавляются

Синтетические материалы расплавляются и проникают глубоко в кожу, и

их потом очень тяжело отделить. Ожоги пламенем неравномерны, носят пятнистый характер.

2)Вода
Кожа хорошо впитывает воду, поэтому такие ожоги обычно большие, значительные по площади и больше, чем при первичном контакте.

Термические ожоги

3)Контактные ожоги возникают в результате соприкосновения кожи с твердыми телами. Они возникают в 10% случаев.


Слайд 6 4)Ожоги, возникающие при контакте с различными другими веществами

4)Ожоги, возникающие при контакте с различными другими веществами -жирами, маслами. Ожоги


-жирами, маслами. Ожоги небольшие по глубине и по

площади, так как жиры и масла не растекаются по поверхности кожи, имеют пятнистый характер.

6) Ожог вольтовой дугой, сходен с ожогом пламенем. Кожа становится черной из-за импрегнации металлами

Термические ожоги

5)Вязкие Вещества (смолой, гудроном).


Слайд 7 Термические ожоги
7)Ожоги электрическим током: могут быть от молнии

Термические ожоги7)Ожоги электрическим током: могут быть от молнии и бытовой (от

и бытовой (от электроприборов). Ожоги по площади незначительные, очень

глубокие, повреждаются мышцы и кости.

Слайд 8 8) Ожоги щелочью и кислотой
Ожоги щелочью значительно опаснее,

8) Ожоги щелочью и кислотойОжоги щелочью значительно опаснее, чем кислотой, при

чем кислотой, при котором происходит коагуляция белков и образуется

корочка, струп, предотвращающая проникновение в глубокие слои.

9)Ожоги вызванные алкалоидами растений, например относящихся к семейству лютиковых подснежников

10) Ожоги фосфором и известью

Химические ожоги


Слайд 9 Лучевые ожоги
11)Радиационные ожоги включаются в себя: ожоги УФ-излучением.

Лучевые ожоги11)Радиационные ожоги включаются в себя: ожоги УФ-излучением. УФ-излучение вызывает 2


УФ-излучение вызывает 2 вида повреждений: рак кожи и подавление

иммунной системы ; радиационное излучение оказывает основное действие на кроветворную, иммунную, центральную нервную систему .

Слайд 10 Ожоги 1 степени проявляются резко выраженной краснотой кожи

Ожоги 1 степени проявляются резко выраженной краснотой кожи и отеком тканей,

и отеком тканей, сопровождаются жгучей болью и поражением верхних

слоёв кожи.

Ожоги II степени - Кроме выраженных симптомов, отмеченных при 1степени, отмечается образование пузырей наполненных серозной жидкостью.

Ожоги IIIa степени - повреждение кожи до сосочкового слоя. Пузыри возможны, но дно их бледно-розовое. Чувствительность сохранена

Ожоги IIIb полное разрушение кожи и нижележащего мышечного слоя. Болевая чувствительность отсутствует.

Ожоги IV степени сопровождаются некрозом более глубоких слоев тканей и обугливанием кожи или даже органа, омертвением не только кожи, но и глубжележащих тканей.

Классификация ожогов


Слайд 11 Фактор ожога
Площадь ожога

Фактор ожогаПлощадь ожога    -Правило ладони

-Правило ладони

-Правило девяток
3)Глубина ожога

Когда площадь поражения кожи превышает 10% - следует ожидать развития ожогового шока

Для определения диагноза нужно знать:




Слайд 16 Ожог 3 степени

Ожог 3 степени

Слайд 17 Ожог 4 степени

Ожог 4 степени

Слайд 20 Цель- уменьшить боль и предупредить опасные для жизни

Цель- уменьшить боль и предупредить опасные для жизни осложнения.Оказание помощи при

осложнения.
Оказание помощи при ожогах I и II степени:
1) Обожженную

поверхность поскорее подставить под струю холодной воды и подержать 5-10 минут.

2) Накрыть сухой чистой тканью.

3) Поверх ткани приложить холод (пузырь со льдом или пакет с холодной водой или снегом.
4) Обезболивание

- Недопустимо смазывать повреждённые участки кремами и жирами, присыпать мукой и крахмалом.
- Вскрывать пузыри и удалять прилипшую ткань.

Первая помощь при термических ожогах




Слайд 21 Оказание помощи при ожогах III и IV степени:
1)

Оказание помощи при ожогах III и IV степени:1) Наложить на повреждённую

Наложить на повреждённую поверхность чистую пленку или ткань.
2) Поверх

плёнки приложить пакеты со льдом.

3) обезболивание — нпвс, если большая площадь — накотические анальгетики.
4) При длительном ожидании медицинской помощи обеспечить пострадавшего обильным тёплым питьём.

Первая помощь при термических ожогах



Слайд 22 Недопустимо:
Сдирать с поверхности кожи одежду
вскрывать пузыри
бинтовать

Недопустимо:Сдирать с поверхности кожи одежду вскрывать пузыри бинтовать обожженную поверхность смывать

обожженную поверхность
смывать грязь и сажу с поверхности кожи

обрабатывать повреждённую поверхность присыпками и спиртосодержащими растворами

Первая помощь при термических ожогах



Слайд 23 ВАЖНО

ВАЖНО !!!1) при ожогах кистей снять с

!!!
1) при ожогах кистей снять с пальцев кольца (

опасность ишемии )
2) при электроожогах возможны разрывы мышц, вывихи и переломы конечностей. При жалобах на боли в конечностях транспортная иммобилизация
3) Болевой синдром необходимо купировать, иначе - ШОК


Слайд 24 Помощь при химических ожогах
1)Если ожог вызван кислотой (только

Помощь при химических ожогах1)Если ожог вызван кислотой (только не серной), то

не серной), то можно промыть место ожога струёй холодной

воды, а затем щелочным раствором: мыльной водой или раствором пищевой соды.

2)Если же ожог от щёлочи, то после промывания водой хорошо приложить ткань, смоченную слабым уксусом или лимонным соком. Перед отправлением в больницу ожог закрывают повязкой.

3)Если на кожу попал фосфор, то он вспыхивает. Обожжённое место нужно опустить под воду. Палочкой удалить кусочки фосфора, наложить повязку.

4)Когда на кожу попадает негашеная известь, ни в коем случае нельзя допускать попадание туда влаги – пойдёт бурная химическая реакция. Обработку ожога производят любым маслом.


Слайд 25 Электротравма
поражающее действие электротока в наибольшей степени зависит от:
-

Электротравмапоражающее действие электротока в наибольшей степени зависит от:- силы тока, проходящего

силы тока, проходящего через тело пострадавшего
- пути его распространения
-

продолжительности воздействия

Электротравма чаще всего возникает вследствии контакта с токонесущим проводником или через электрическую дугу, образующуюся в результате ионизации воздуха между человеком и источником электричества


Слайд 26 Необходимо учитывать следующие аспекты
1) чем выше напряжение тока

Необходимо учитывать следующие аспекты1) чем выше напряжение тока в э/сети, тем

в э/сети, тем выше сила тока, проходящего через тело

человека, и тем сильнее его повреждающее действие.
2) снижение электрического напряжения в месте электротравмы, например за счет влаги, способно в несколько раз увеличить силу тока и его повреждающее действие.
3) особенно опасен путь прохождения тока через сердце или головной мозг

Слайд 27 Неотложная помощь
1) Прекратить действие эл.тока на пострадавшего
2) Уложить

Неотложная помощь1) Прекратить действие эл.тока на пострадавшего2) Уложить пострадавшего на спину,

пострадавшего на спину, освободить стесняющую одежду
3) При остановке кровообращения

— СЛР
4) ОДН — прямое показание к ВВЛ или ИВЛ
5) Купирование судорожного синдрома (диазепам)
6) При сист.АД ниже 80 мм. рт. ст. - дофамин ( до поддержания АД -100 мм. рт .ст.)
7) Повязка на ожоговую поверхность.
8) Обезболивание
Транспортировка только в положении лежа с постоянным контролированием сердечного ритма



Слайд 31 Удар молнией
При поражении молнией на коже появляются пятна

Удар молниейПри поражении молнией на коже появляются пятна тёмно-синего цвета, напоминающие

тёмно-синего цвета, напоминающие разветвление дерева. Это происходит из-за паралича

сосудов. Общие явления при поражении молнией также выражены значительнее. Характерно развитие параличей, глухоты, немоты и паралича дыхания.

Удар молнией – это мощнейшая электротравма.

И все явления, происходящие при поражении бытовым электричеством, будут наблюдаться и в этом случае. Но есть и отличия.


Слайд 32 Как избежать удара молнией?
Если гроза застаёт в лесу,

Как избежать удара молнией?Если гроза застаёт в лесу, не следует прятаться

не следует прятаться под высокими деревьями. Особенно опасны отдельно

стоящие дуб , тополь , ель и сосна. В берёзу и клён молния ударяет редко

Находясь в грозу на открытом месте, лучше присесть в сухую яму или канаву. Тело должно иметь как можно меньший контакт с землёй.

Во время грозы в горах следует избегать гребней, скальных выступов и других возвышенных точек.


Слайд 33 Поражение молнией

Поражение молнией

Слайд 35 1)Закрытый метод
При закрытом методе лечения на поверхность ожога

1)Закрытый методПри закрытом методе лечения на поверхность ожога накладывают повязки с

накладывают повязки с различными веществами (противоожоговая мазь, эмульсия синтомицина,

диоксидиновая мазь и др.)

2) Открытый метод
Открытый метод лечения применяют в двух видах:
а) без обработки поверхности ожога дубящими веществами
б) с созданием на поверхности ожога корочки (струпа) путем обработки коагулирующими препаратами.



Специализированное лечение ожогов


Слайд 36 4) Оперативный метод
Гомопластические пересадки кожи производят для временного

4) Оперативный методГомопластические пересадки кожи производят для временного закрытия обширных дефектов

закрытия обширных дефектов при тяжелом состоянии пострадавших.
3) Смешанный

метод
Развитие нагноения ожоговой поверхности заставляет переходить от открытого к закрытому методу и применению повязок с различными препаратами.

Специализированное лечение ожогов


Слайд 37 В дальнейшем, для успешного лечения ожога, необходимо иметь

В дальнейшем, для успешного лечения ожога, необходимо иметь представление о биологических

представление о биологических законах заживления ран. В заживлении ожоговой

раны достаточно четко прослеживаются
три основных фазы: воспаления, регенерации и эпителизации.

1)Фаза воспаления: происходит расплавление некротических масс и очищение раны от продуктов распада, поврежденных тканей и загрязнения;
2)Фаза регенерации: пролиферация соединительнотканных элементов; на дне и в стенках раны развивается молодая, богатая сосудами грануляционная ткань.
3)Фаза эпителизации ( закрытие раны кожей): формирование рубца и окончательное заживление раны.

На различных этапах заживления раны применяются разные принципы терапии, от которых и зависит выбор местных средств лечения ожога.

Слайд 38 После оказания первой помощи в первой фазе заживления

После оказания первой помощи в первой фазе заживления ожоговой раны следует

ожоговой раны следует предупредить распространение бактериальной инфекции, для чего

применяют антибактериальные и антисептические средства. Далее, когда рана очистилась от некротических тканей, следует уделить внимание воздействию на процессы заживления и использовать средства, способствующие быстрейшей регенерации тканей.

Итак, при выборе средств лечения ожога важно помнить, что действующее начало в том или ином препарате должно отвечать основной решаемой в конкретную фазу раневого процесса задаче.
По действующему началу все средства можно разделить на три группы: антибактериальные препараты; составы, стимулирующие регенерацию тканей (заживление); композиционные составы, сочетающие в себе антибактериальное и стимулирующее заживление действие.

Слайд 39
Группа 1. Антибактериальные препараты. (антибиотики и антисептики).
Антисептики:
препараты йода:

Группа 1. Антибактериальные препараты. (антибиотики и антисептики).Антисептики:препараты йода: йодинол, бетадин, вокадин

йодинол, бетадин, вокадин (мазь);
препараты, содержащие соли аммония: роккал (растворы),

катапол, этоний;
препараты, содержащие серебро: на основе высокодисперсного коллоидного серебра – повиаргол в виде раствора или геля; на основе сульфадиазина серебра – сильведерм (мазь, крем), дермазин.
Группа 2. Стимулирующие заживление препараты: пантенол (аэрозоль); солкосерил; актовегин; облепиховое масло; прополис.
Группа 3. Композиционные составы: олазоль; левомеколь; аргакол; ампровизоль.

В разных составах можно встретить комбинированное использование данных препаратов. Часто используется сочетание антисептиков, обезболивающих и стимулирующих заживление препаратов.

Слайд 40 Примеры некоторых готовых к применению раневых покрытий:

Активтекс –

Примеры некоторых готовых к применению раневых покрытий:Активтекс – салфетки из специальной

салфетки из специальной текстильной основы с различными лекарственными средствами.

Существует до 16 вариантов этих замечательных покрытий: антисептики, анестетики, гемостатики, антиокиданты и т.п. Для лечения ожоговых ран в стадии воспаления используют Активтекс МР (действующее вещество: антисептик мирамистин), салфетки с усиленным обезболивающим действием Активтекс ХЛ (действующие вещества: хлоргексидин - антимикробное, лидокаин- местное обезболивающее) и Активтекс ФЛ (действующие вещества: фурагин — антимикробное, лидокаин).
Биодеспол – лечебное покрытие, стимулирующее регенерацию тканей. Содержит лидокаин (обезболивающее) и антисептик (мирамистин или хлоргексидин). Раны быстро очищаются от фибрина и участков тонкого струпа, происходит активная эпителизация. Повязка удобна в применении, не травмирует рану.
Бранолинд – повязка из хлопчатобумажной ткани с перуанским бальзамом, являющимся хорошим антисептическим средством.
Воскопран – повязка, представляющая собой полиамидную сетку, пропитанную пчелиным воском и мазью с антисептиком. Хорошо обеспечивает отток раневого экссудата. Повязка Воскопран не прилипает к ране и способствует заживлению раны без рубцов.

Слайд 45 Ожоговый шок. Развивается в связи с раздражением огромного

Ожоговый шок. Развивается в связи с раздражением огромного количества нервных элементов

количества нервных элементов обширной области поражения. Чем больше площадь

ожога, тем чаще бывает и тяжелее протекает шок

основные причины смерти

Ожоговая болезнь. Чёткой границы между ожоговым шоком и ожоговой болезнью нет. По существу речь идёт об одном и том же явлении. В первые 2-3 суток говорят об ожоговом шоке. На 3-5е сутки, как правило, полностью проявляются перечисленные выше осложнения, и врачи ставят диагноз: ожоговая болезнь.


Слайд 46 основные причины смерти
Инфекция. При развитии инфекции на обожженной

основные причины смертиИнфекция. При развитии инфекции на обожженной поверхности возникают септические

поверхности возникают септические явления (септическая фаза болезни), повышается температура

тела, появляются ознобы, нарастает лейкоцитоз и нейтрофилез, развивается анемия, язвы и др.

Токсемия. Начинается с первых часов после ожога, постепенно усиливается и после выхода из шока определяет в дальнейшем состояние пострадавшего. В развитии токсемии играет роль всасывание из, зоны ожога продуктов распада тканей, токсинов.


Слайд 47 Неотложный период в зависимости от тяжести повреждения занимает

Неотложный период в зависимости от тяжести повреждения занимает от двух дней

от двух дней до двух недель после ожога.
Острый

период начинается сразу же по окончании неотложного и продолжается до тех пор, пока все глубокие повреждения не будут покрыты аутотрансплантатами (лоскутами кожи, взятыми с других участков тела больного).

Реабилитация – это возвращение больного к его обычному образу жизни.

Этапы помощи при тяжелых ожогах


Слайд 48 Ожоговый шок
- это острое гиповолемическое состояние, возникающее в

Ожоговый шок- это острое гиповолемическое состояние, возникающее в результате плазмопотери при

результате плазмопотери при обширных ожогах
У взрослых — если площадь

ожогов 2 и большей степени более 25%, или площадь 3б-4 степени — более 10%
У детей и старческого возраста при меньшей площади.
Проявляется ОССН, нарушением периферического кровообращения, олиго- и анурией,гемоглобинурией, ацидозом и гиперкалийемией, при этом все симптомы развиваются постепенно. ( на догоспитальной этапе ориентируемся на глубину и площадь ожогов )


Слайд 49 Неотложная помощь
Неотложные мороприятия при Ожоговом шоке включают в

Неотложная помощьНеотложные мороприятия при Ожоговом шоке включают в себя инфузионную терапию

себя инфузионную терапию и оксигенотерапию
- кристаллоидные растворы 2л\час (взрослым)
-декстраны

(реополигюкин) 400-800 мл
-кислород 100% через маску
- Анальгетики
- Глюкокортикоиды
- Седативные средства (диазепам)
- Антигистаминные средства (димедрол, пипольфен)


Слайд 50 (термические)
Термические ожоги вызываются пламенем, горячим воздухом и жидкостями,

(термические)Термические ожоги вызываются пламенем, горячим воздухом и жидкостями, расплавленным металлом, нагретыми

расплавленным металлом, нагретыми или горящими частицами.
Симптомы : резкая

боль в глазу, блефароспазм, слезотечение, отек век и конъюнктивы, снижение зрения. 

Неотложная помощь: необходимо промыть глаза водой, закапать в глаза 20 % раствор сульфацил -натрия; 20 % суль – фапиридазин - натрия; раненую поверхность кожи смазать мазью антибиотика. На глаз накладывается асептическая повязка. Внутримышечно вводят противостолбнячную сыворотку (1500-ЗОООМЕ). 

Ожоги глаз


Слайд 51 Химические ожоги бывают кислотными и щелочными. 
Ожоги кислотой вызывают

Химические ожоги бывают кислотными и щелочными. Ожоги кислотой вызывают быстрое свертывание белка,

быстрое свертывание белка, поэтому в первые часы формируется ограниченный

струп. Это предохраняет подлежащиеткани от дальнейшего поражения. 

Симптомы и течение. Жалобы на боль, светобоязнь, слезотечение, снижение зрения. Веки гиперемированы, отечны. Роговица становится отечной, тусклой, с сероватым оттенком, в тяжелых случаях приобретает молочный оттенок. 

Неотложная помощь: как можно быстрее, в течение 10-15 минут промыть глаза струей воды. В конъюнктивальную полость закапывают 20 % раствор сульфацил-натрия, 10 % раствор сульфапиридазин-натрия, раствор фурацилина . Анальгетики!.

Ожоги глаз


Слайд 52 Щелочные ожоги менее благоприятны. Щелочь растворяет белок и

Щелочные ожоги менее благоприятны. Щелочь растворяет белок и беспрепятственно проникает внутрь

беспрепятственно проникает внутрь тканей. Страдает не только кожа, конъюнктива

и роговица. Воздействию подвергается радужка, хрусталик и другие ткани глаза.

Неотложная помощь: обильное промывание глаз водой в течении 15-30 минут. Если имеются частицы поражающего агента, то необходимо их удалить с помощью тугого ватного тампона или пинцетом, повторно промьггь водой. После этого закапать в глаз раствор антибиотиков, сульфаниламидов. Накладывается сухая асептическая повязка,больной направляется в стационар.

Ожоги глаз


Слайд 54 «Фарфоровый» глаз

«Фарфоровый» глаз

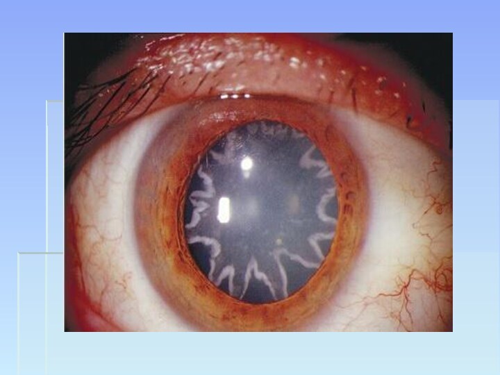
Слайд 55 Химический ожог роговицы

Химический ожог роговицы

Слайд 56 Термический ожог глаз

Термический ожог глаз

Слайд 57 Симптомы солнечного ожога бывают разные - от порозовения

Симптомы солнечного ожога бывают разные - от порозовения кожи, начинающей

кожи, начинающей "гореть", до покраснения, когда она опухает, покрывается

волдырями и становится крайне болезненной.

Солнечные ожоги вовсе не так безобидны, как думают многие. Доказано, что они могут приводить не только к преждевременному старению кожи и развитию фотодерматита (аллергии к солнечным лучам), но и к снижению зрения и даже к онкологическим заболеваниям (раку кожи).

Солнечный ожог


Слайд 58 Солнцезащитные кремы
Солнцеотражающие средства
Наиболее частая причина солнечных ожогов

Солнцезащитные кремы Солнцеотражающие средстваНаиболее частая причина солнечных ожогов - ажиотаж первого

- ажиотаж первого дня. Увеличивайте время пребывания на солнце

постепенно: переходите от получаса на первый раз до не более чем 2 часа в день. Самое активное солнце с полудня до 2 часов, так что в это время лучше не загорать.

Светонепроницаемые кремы содержат окисел цинка или диоксид титана, практически полностью блокирующие ультрафиолетовую радиацию. Они хороши для чувствительных участков кожи, таких, как нос и губы.

Они содержат вещества, частично отражающие ультрафиолетовые лучи.

Профилактические средства



Слайд 59 .
.
Тепловой удар

.. Тепловой удар

Слайд 60 Температуру 71°С человек выдерживает в течение 1 часа,

Температуру 71°С человек выдерживает в течение 1 часа, 82°С - 49

82°С - 49 минут, 93°С - 33 минут, а

104°С - только 26 минут.

1828 году был описан случай 14-минутного пребывания мужчины в печи, где температура достигала 170°С.

В обнаженном состоянии человек может выдержать быстрое нарастание температуры до 210°С, а в ватной одежде - до 270°С.

В Бельгии в 1958 году был зарегистрирован случай, когда человек несколько минут находился в термокамере при температуре 200°С!

Реакция организма на жаркую погоду.


Слайд 61 перегревание
Значительное повышение t тела под влиянием внешних тепловых

перегреваниеЗначительное повышение t тела под влиянием внешних тепловых факторов, приводящее к

факторов, приводящее к расширению сосудов, гипервентиляции вследствии тахипноэ, усиленному

потоотделению.
В результате:
- дегидратация, снижение ОЦК
- снижение сердечного выброса, периферического сосудистого тонуса и АД
- церебральная гипоксия с судорогами

Слайд 62 Клиника
В анамнезе — длительное воздействие высокой температуры на

КлиникаВ анамнезе — длительное воздействие высокой температуры на организм пострадавшего.1) Сильные

организм пострадавшего.
1) Сильные головные боли, возбуждение, тошнота, рвота, судороги,

угнетение сознания вплоть до комы
2) гипертермия до 40 градусов и выше
3) кожный покров вначале влажный, потом сухой, гиперемированный.
4) тахипноэ, дыхание поверхностное
5) тахикардия, гипотония, глухие тоны сердца.

Слайд 63 Больного срочно выносят в прохладное место, обеспечивают доступ

Больного срочно выносят в прохладное место, обеспечивают доступ свежего воздуха, освобождают

свежего воздуха, освобождают от одежды, дают выпить холодной воды,

накладывают холодный компресс на голову.


В более тяжелых случаях показано обертывание простыней, смоченной холодной водой, обливание прохладной водой, лед на голову и паховые области.

Но не в коем случае нельзя давать алкоголь, напитки, содержащие теин и кофеин (чай, кофе, какао).

Первая помощь




Слайд 64 Неотложная помощь
- венозный доступ. Лучше катетером.
- полиионные растворы

Неотложная помощь- венозный доступ. Лучше катетером.- полиионные растворы (дисоль, трисоль, хлосоль

(дисоль, трисоль, хлосоль струйно до АД=90мм рт. ст. а

затем капельно
- метамизол натрия 50%-2 мл в\в
- дроперидол 0.25%-0.5 мл и выше
- глюкокортикоиды 60-90 мг по преднизолону
При отсутствии эффекта — ноадреналин или мезатон в\в и снова Г/кортикоиды
При судорогах — диазепам, или тиопентал Na? Или оксибутират Na
Агональное состояние - СЛР.

Слайд 65 Термоингаляционные поражения ВДП
Возникают вследствии прямого повреждения ВДП пламенем,

Термоингаляционные поражения ВДПВозникают вследствии прямого повреждения ВДП пламенем, горячим воздухом, паром

горячим воздухом, паром и токсичными продуктами горения
Обычно ТПВДП возникают

при пожаре в замкнутых помещениях и часто сочетаются с ожогами кожи
Делятся на 2 подкатегории:
1)ожоги ВДП
2) термохимические поражения нижних ДП продуктами горения (протекают особенно тяжело. Летальность 80%. от возниконовения ОДН)


Слайд 66 Клиническая картина ожогов ВДП в первые часы отличается

Клиническая картина ожогов ВДП в первые часы отличается неопределенностью. Предположить поражение

неопределенностью. Предположить поражение ВДП можно, если известо, что:
- ожог

вызван паром или пламенем
- ожог получен в замкнутом пространстве
- присутствует ожог лица, шеи, передней поверхности грудной клетки.
Диагноз подтверждается если:
-обгорели волосы в преддверии носа
-обожжены небе и задняя стенка глотки
-следы копоти на языке и слизистой зева
-хриплый лающий голос, кашел с мокротой черного цвета
-одышка, цианоз, затруднение дыхания, угнетение сознания


Слайд 67 Неотложная помощь
Лечение термоингаляционных поражений включает в себя адекватную

Неотложная помощьЛечение термоингаляционных поражений включает в себя адекватную оксигенацию, мероприятия по

оксигенацию, мероприятия по обеспечению проходимости ВДП и инфузионную терапию
-

Увлажненный кислород 100% через маску
- При нарастании отека гортани — интубация и перевод на ИВЛ. Иногда — коникотомия
- ЛАКТАСОЛ (если нет то любые кристаллоиды 2л\ч или коллоиды до 1 л\ч
ОСНОВНЫЕ ОПАСНОСТИ И ОСЛОЖНЕНИЯ
Ларигоспазм, бронхоспазм, отек легких, ОССН

Слайд 68 Отморожение
Отморожение — результат местного воздействия холода.
Ведущий фактор в

ОтморожениеОтморожение — результат местного воздействия холода.Ведущий фактор в патогенезе отморожения —

патогенезе отморожения — длительный сосудистый спазм, с нарушением микроциркуляции

и тромбообразованием, что приводит к трофическим расстройствам.

Слайд 69 2 периода течения отморожения
1) Скрытый — период гипотремии.

2 периода течения отморожения1) Скрытый — период гипотремии. Глубину поражения установить

Глубину поражения установить невозможно. Заподозрить отморожение можно по наличию

локального побеления кожи и отсутствию болевой чувствительности
2) Реактивный период — наступает через несколько часов после согревания. Характерны боль, отек, гипертермия с цианотичным оттенком кожи, появление пузырей

Слайд 70 Отморожение пальцев кисти

Отморожение пальцев кисти

Слайд 74 Неотложная помощь при отморожениях

- прекратить дальнейшее охлаждение
-устранить тесную

Неотложная помощь при отморожениях- прекратить дальнейшее охлаждение-устранить тесную обувь и одежду

обувь и одежду
-провести массаж пораженного участка ( растирание

снегом недопустимо)
-наложить сухую согревающую асептическую повязку
- перорально 325 мг аспирина или в\в 5000ед гепарина
В случае длительной транспортировки — в\в введение реополиглюкина вместе с 100 мг пентоксифиллина.
- симптоматическая терапия, постепенное согревание
интенсивное согревание опасно !!!!

Слайд 75 Переохлаждение
Состояние больного, клиническая картина и необходимый объем помощи

ПереохлаждениеСостояние больного, клиническая картина и необходимый объем помощи зависят от стадии

зависят от стадии ( степени) переохлаждения
3 стадии
1) адинамическая
2) ступорозная
3)

судорожная ( коматозная )


Слайд 76 1 стадия переохлаждения (адинамическая)
Пострадавший заторможен, речь затруднена, скандированная.

1 стадия переохлаждения (адинамическая)Пострадавший заторможен, речь затруднена, скандированная. Движения скованные, мышечная

Движения скованные, мышечная дрожь.Сохраняется ограниченная способность к самостоятельному перемещению.
Неотложная

помощь
-Предотвратить дальнейшее охлаждение
-пассивное наружное согревание (переодеть в сухую, теплую одежду, завернуть в одеяло, можно в «космическое»
- в\в — 20 мл 40% раствора глюкозы вместе с 3-5 мл 5% растовора аскорбиновой кислоты

Слайд 77 При длительной транспортировке допустимо использование алкоголя, но не

При длительной транспортировке допустимо использование алкоголя, но не более 100мл крепкого

более 100мл крепкого алкоголя
Его можно использовать только, если дальнейшее

охлаждение исключено, так как алкоголь стимулирует теплоотдачу. При транспортировке на длинные расстояния (сельская местность) — активное наружное согревание. Транспортировка на носилках.

Слайд 78 2 стадия ( ступорозная)
Пострадавший резко заторможен, дезориентирован, часто

2 стадия ( ступорозная)Пострадавший резко заторможен, дезориентирован, часто не контактен. Кожа

не контактен. Кожа бледная, мраморный рисунок. Выраженная ригидность мускулатуры

— характераная поза скрючившегося человека. Самостоятельные движения невозможны. Брадикардия, брадипноэ, артериальная гипотензия


Слайд 79 Неотложная помощь
Те же мероприятия, что и при 1

Неотложная помощьТе же мероприятия, что и при 1 стадии+Активное наружное согревание(

стадии
+
Активное наружное согревание( согревающие пакеты, бутылки с горячей водой,

грелки — размещается в местах проекции крупных сосудов) до ректальной t=34-35 градусов
Эффективно: теплые растворы глюкозы, кристаллоидов
Если пострадаший в состоянии глотать — обильное горячее питье. Алкоголь противопоказан
Очень эффективно — ванна с горячей водой.
Однако возможна ОССН !!!! ( дофамин 200мг в 400 мл 5% глюкозы, кристаллоиды, коллоиды)

Слайд 80 3 стадия ( судорожная или коматозная )
Сознание отсутствует,

3 стадия ( судорожная или коматозная )Сознание отсутствует, фотореакция зрачков резко

фотореакция зрачков резко снижена или утрачена. Тризм жевательной мускулатуры,

тонические судороги, брадикардия, АД обычно не определяется. Дыхание редкое, поверхностное.

  • Имя файла: neotlozhnye-sostoyaniya-pri-deystvii-fizicheskih-faktorov.pptx
  • Количество просмотров: 193
  • Количество скачиваний: 2